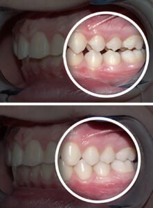
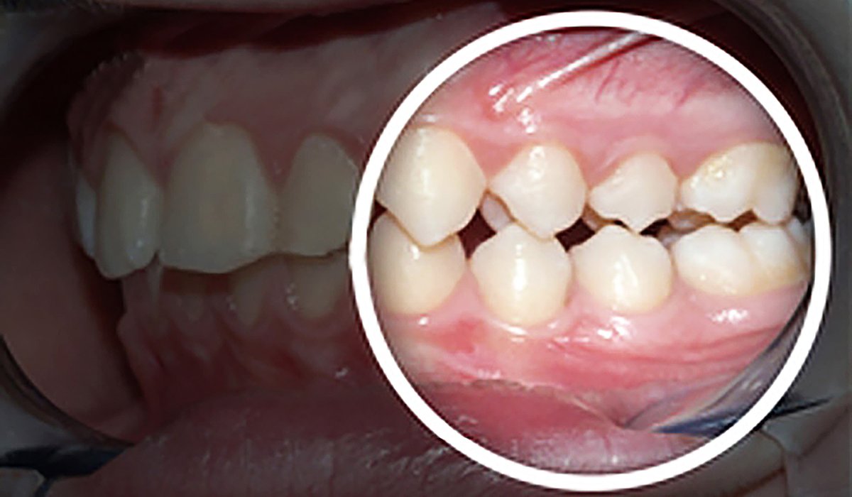
A “OCLUSÃO DENTÁRIA” é determinante no sucesso da Terapêutica Odontológica.
O maior número de dentes em oclusão, distribui melhor a força mastigatória preservando os próprios dentes e o aparato de sustentação dos mesmos.
Tratamentos, como as cirurgias A LASER (L.A.N.A.P. – Laser Assisted New Attachement Procedure) (ND: YAG LASER), tem como exigência, a estabilidade oclusal que, geralmente, é obtida através de ajustes oclusais.
Neste caso que apresentamos, como exemplo, o ajuste oclusal, foi feito também com indicação pré ortodôntica.
